Orthopaedics
Orthopaedics consist of surgeries involving bones, joints and the surrounding soft tissue. At Nelson Vets we offer a range of orthopaedic surgeries including:
- Ruptured cruciate surgery - Lateral suture stabilization, MMP & TPLO
- Fracture repairs - limbs & pelvis
- Luxating patella (dislocating knee cap)
- Elbow, shoulder and knee arthrotomy
- Joint dislocation repair
- Achilles tendon rupture
- Arthrodesis
- Femoral head ostectomy
- Corrective surgery for juvenile growth deformities
- PennHip scoring for puppies to check for hip dysplasia
We also accept referrals from other practices, click here for our referral form.
Two of the more common procedures we perform are cruciate repairs and patella luxation, below is a quick overview of what they involve:
Cruciate repairs
Cranial cruciate ligament rupture is one of the most common hind limb orthopaedic conditions we see in dogs. At Nelson vets we will operate on around 100 cases of cruciate rupture per year! We don’t understand all the reasons for this disease process and all breeds of dog are susceptible. We see two general patterns of cruciate disease; a gradual deterioration leading to eventual rupture or less commonly rupture through trauma. Once the cruciate ligament has ruptured, the degenerative process happens very quickly. For the vast majority of cases, surgery followed by physio therapy, is the only option for any hope of returning to normal function longer term.

There are lots of different surgical options described, but here at Nelson Vets we have selected what we consider to be the most up-to-date techniques. The most advanced procedure involves remodeling how the forces are transmitted through the knee joint in order to produce stability.
In a normal standing dog, the body weight is forced up the leg to the lowest point of the knee joint, the tibia. This force tries to push the tibia out from underneath the femur and is called tibial thrust. The cruciate ligament stops this movement from happening. By altering the position of the top of the tibia we can make it so this thrust force is no longer produced, therefore the knee no longer needs a cruciate ligament to function.
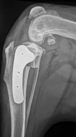
The TPLO procedure itself involves the use of a curved saw blade to make a curved cut on the inside of the tibia. The cut portion is rotated into the correct angle and a stainless steel bone plate is placed to hold the two pieces of the tibia into alignment.
The X-ray to the left was taken immediately after surgery to check implant positioning.
After TPLO surgery and physiotherapy combination, the arthritic deterioration is significantly reduced and your dog is likely to get back to normal function after 3 months.
Download our full TPLO & cruciate repair handout here.
Patella Luxation
Patella luxation is where the kneecap (patella) can slip out of the normal groove of the knee and end up sitting on the side of the femur. Selective breeding for a bow-legged conformation has lead to dogs being genetically predisposed to develop the condition. Traumatic events such as car accidents can also lead to patella luxation.
Patella luxations are graded 1-4 depending on their severity. Dogs with grade 1 patella luxations and some dogs with grade 2 can be treated conservatively using physiotherapy and pain relief as and when discomfort flares up. Most dogs of grade 2 or above would benefit from physiotherapy and surgery. Surgery usually consists of three parts:
Part 1: This involves deepening the groove the patella sits in, which requires us to remove some of the bone from the trochlea groove.
Part 2: Here we realign where the tendon pulls over the groove in the femur. Here we cut the bone the patella tendon is attached to and realign it to make the knee straighter. This technique is usually needed in most grade 3 luxations and above and in some grade 2 luxations depending on the conformation of the knee.
Part 3: Is to tighten the tissues around the knee joint. This helps to hold the patella closer to the groove.
Each case is a little different so we go through the likely surgery on an individual basis.
To download our full luxating patella handout, click here.

Has your pet already had orthopaedic surgery with us? Click here for our information to help guide you and your pet through the recovery period.
